医院概况
医院概况
医院简介
院容院貌
品牌文化
医院党建
新闻中心
新闻中心
医院新闻
公告通知
学术活动
医疗技术
医学科普
港澳药械通
精彩专题
电子刊物
视频中心
自媒体平台
医疗服务
医疗服务
预约挂号
来院导航
楼层分布
门诊服务
医保专区
停车缴费
客服中心
常见问题
医院信箱
科室导航
科室导航
门急诊系统
内科系统
外科系统
医技系统
妇产儿五官系统
科研教学
科研教学
医学教育
科研管理
继续教育
进修招录
医护管理
医护管理
医务管理
质量控制
护理风采
医联体
院务公开
院务公开
公开信息
物价公示
评审公示
招标公告
GCP
人才招聘
人才招聘
招聘信息
人才招聘
住培招录
员工关怀
人才政策
导航
返回导览页
医院概况
医院简介
院容院貌
品牌文化
医院党建
新闻中心
医院新闻
公告通知
学术活动
医疗技术
医学科普
港澳药械通
精彩专题
电子刊物
视频中心
自媒体平台
医疗服务
预约挂号
来院导航
楼层分布
门诊服务
医保专区
停车缴费
客服中心
常见问题
医院信箱
科室导航
门急诊系统
内科系统
外科系统
医技系统
妇产儿五官系统
科研教学
医学教育
科研管理
继续教育
进修招录
医护管理
医务管理
质量控制
护理风采
医联体
院务公开
公开信息
物价公示
评审公示
招标公告
GCP
人才招聘
招聘信息
人才招聘
住培招录
员工关怀
人才政策
新闻中心
新闻中心
医院概况
新闻中心
医疗服务
科室导航
科研教学
医护管理
院务公开
人才招聘
医学科普
医院新闻
公告通知
学术活动
医疗技术
医学科普
港澳药械通
精彩专题
电子刊物
视频中心
自媒体平台
医院新闻
公告通知
学术活动
医疗技术
医学科普
港澳药械通
精彩专题
电子刊物
└
医院内刊
└
活动海报
视频中心
└
医院宣传片
└
科室宣传片
└
科普视频
└
专题片
└
短视频
自媒体平台
医学科普
2026-03-03
3cm的乳腺结节,差点毁了我的家——一位母亲写给健康管理部医护的感谢信
近日,40岁的李女士(化名)在东华医院健康管理部进行年度体检时,B超检查发现其乳腺存在一个约3cm的结节。凭借专业敏感性,体检医生当即建议其进一步排查。
让李女士没想到的是,体检结束后的48小时内,她不仅接到了健康管理师的主动追踪电话,还在其协助下,迅速对接上了专科医生并完成了穿刺检查。三天后,病理结果提示为“原位癌”……
了解详情
总数:
106
3cm的乳腺结节,差点毁了我的家——一位母亲写给健康管理部医护的感谢信
2026-03-03
参与无偿献血,可享哪些优先用血政策 | 2月10日东莞东华医院无偿献血活动来啦
2026-02-09
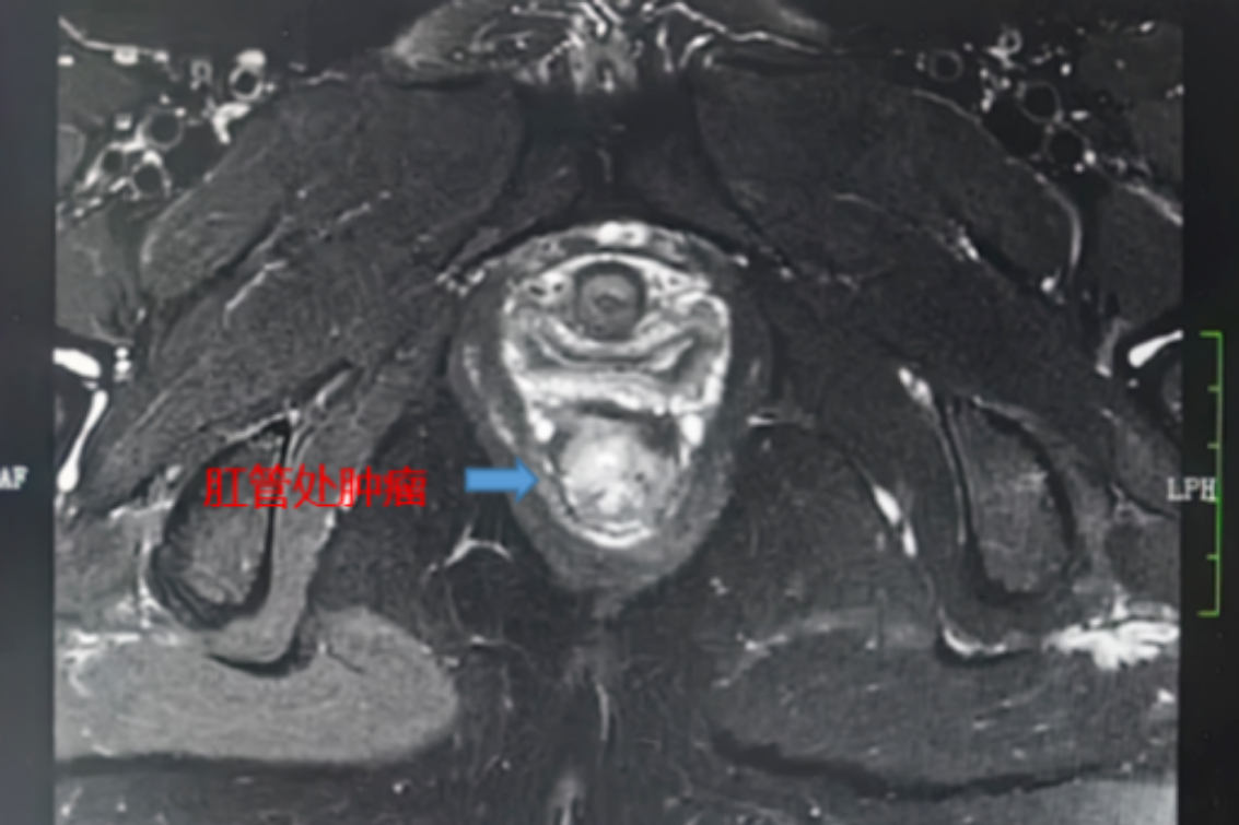
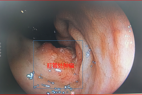
精准放疗,守护“底线”——一位肛管癌患者的保肛之路
2026-01-17
103℃蒸汽“定向爆破”,84岁老人告别多年前列腺困扰
2025-12-01
罕见的肋骨细胞增生,竟然是骨内的“哨兵叛乱”
2025-11-02
食管狭窄无法进食?支架置入让他重获“食”力!
2025-10-24
夜里腰背痛、晨起僵硬?年轻人,这种“妖痛”要警惕!
2025-10-22
科普漫画 | 揭秘麻醉全流程:手术麻醉的 “通关秘籍”!
2025-10-10
14个月大婴儿突发肠套叠,多学科团队紧急救治化险为夷
2025-09-06
身上长这种“小红点”,当心是肝病预警!
2025-09-04
断骨晾着不接?是医生消极怠慢,还是另有他说?
2025-08-18
膀胱内惊现“鸡蛋”大结石!医生妙手完整取出
2025-07-22
预约挂号
高端医疗
服务指南
微信服务号
智慧医院
意见反馈
返回首页
置顶
展开更多